우리는 웰빙(Well-Being)과 더불어 웰다잉(Well-dying)을 추구하는 100세 시대에 살고 있다. 100세 시대를 염원하는 바탕에는 건강한 신체와 건강한 생활이 있다. 누구나 가장 피하고 싶은 것이 수십년을 침상에서 생활하는 상황일 것이다.
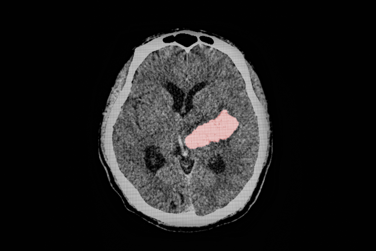
이런 후유장애 상황을 유발하는 대표적인 질병 중 하나가 뇌졸중이다.뇌졸중은 노인성 질환으로 알려져 있지만, 그렇다고 젊은 사람에게 뇌졸중이 생기지 않는 것은 아니다. 국내 뇌졸중 환자의 평균 연령은 약 70세 전후로 알려져 있지만, 전체 환자의 10~15%는 50세 이하에서 발생한다. 뇌졸중 환자 100명 가운데 10명 이상이 ‘젊은 뇌졸중’ 환자인 셈이다. 발생률을 따지면 인구 10만명당 8~23명 정도로, 중장년이나 노년층보다 낮지만 결코 무시할 수 있는 숫자는 아니다.
젊은 뇌졸중에는 몇 가지 특징이 있다. 첫째, 뇌출혈의 비율이 높다. 전체 뇌졸중 중 80~85%가 뇌경색이고 15~20%가 뇌출혈인데, 젊은 뇌졸중은 뇌경색이 50~60%, 뇌출혈이 40~50%에 달한다. 둘째, 발생 원인이 다양하다. 40대 이상에서는 고혈압, 당뇨병, 고지혈증, 흡연, 음주와 같은 잘 알려진 위험인자가 주된 원인이다. 그러나 20~30대 환자에서는 혈전을 잘 만드는 혈액질환, 혈관염, 경동맥이나 척추동맥의 박리, 모야모야병, 편두통, 여성의 경우 임신이나 호르몬제 복용 등이 원인이 되기도 한다. 특히 모야모야병은 뇌경색과 뇌출혈을 모두 일으킬 수 있는 질환으로 유전적 요인이 드물게 작용하는 경우도 있다.
셋째, 젊은 환자는 회복 속도가 빠른 편이지만, 그만큼 사회적 부담이 크다. 뇌졸중 이후 다양한 후유장애가 발생하면서 본인의 하던 일이 어려워질 수 있다. 뇌졸중 이후 증상 없이 퇴원하는 환자는 전체 환자의 15% 정도에 불과하다. 젊은 환자는 장년층에 비해 가정과 사회, 직업에서 책임을 지고 있는 경우가 많아 뇌졸중이 남기는 후유증은 개인의 문제를 넘어 사회경제적 손실로 이어진다. 따라서 적극적인 재활치료와 함께 우울증 등 심리적 지지와 장기적인 지원 또한 필요하다.
젊은 뇌졸중 환자 치료와 이차예방은 장년층과 동일하다. 뇌경색 환자라면 초급성기에는 정맥내 혈전용해술이나 동맥내 혈전제거술을, 초급성기 이후에는 재발을 막기 위해 항혈소판제나 항응고제를 사용하게 된다. 다만 젊은 환자는 원인이 불분명한 경우가 많아, 정밀검사와 약물남용 여부 확인, 경우에 따라 유전자 검사까지 필요하다. 유전으로 인한 뇌졸중 발생은 약 1% 정도로 굉장히 드물지만, 직계 가족 중 젊은 뇌졸중이 발생한 환자들이 있고, 유전적 요인으로 발생하는 뇌졸중의 다른 임상적 특징이 동반되어 있다면, 관련 검사를 진행하기도 한다.
무엇보다 중요한 것은 예방이다.뇌졸중의 대표적인 위험인자는 고혈압, 당뇨병, 고지혈증, 심방세동, 비만, 흡연, 음주 등이다. 위험인자 자체는 노인 환자와 다르지 않지만, 문제는 젊을수록 이에 대한 관리가 잘 되지 않는 경우가 있다는 점이다. 실제 국내 연구에서 45세 이하 뇌경색 환자는 45세 이상 환자보다 고혈압, 당뇨병, 고지혈증 같은 위험인자를 관리하지 못하는 경우가 2배 가까이 많았다. 젊고, 증상이 없다는 이유로 방치하거나 “괜찮아지겠지”라는 막연한 생각으로 치료를 미루는 경우가 흔하다는 의미다.
뇌졸중은 한번 발생하면 경미한 경우라도 일상생활에 영향을 주고, 심하면 평생 후유증을 안고 살아야 한다. 젊은 나이에 뇌졸중이 생기면 남은 수십 년을 타인의 도움에 의지해야 할 수도 있다. 오히려 젊을수록 관리에 더욱 신경 써야 하는 이유다. 위험인자를 적극적으로 관리하기만 해도 90% 정도를 예방할 수 있다.
김태정 서울대병원 신경과·중환자의학과 교수
Copyright ⓒ 세계일보. 무단 전재 및 재배포 금지
![[설왕설래] 美 트리폴리 강습상륙함](http://img.segye.com/content/image/2026/04/16/128/20260416526565.jpg
)
![[기자가만난세상] 또 부산 돔구장 公約?… 희망고문 그만](http://img.segye.com/content/image/2026/04/16/128/20260416528118.jpg
)
![[조경란의얇은소설] 뭔가 해야 한다](http://img.segye.com/content/image/2026/04/02/128/20260402520459.jpg
)
![[삶과문화] 사월이 남긴 질문](http://img.segye.com/content/image/2026/02/05/128/20260205519582.jpg
)







![[포토] 하츠투하츠 카르멘 '상큼 발랄'](http://img.segye.com/content/image/2026/04/16/300/20260416522796.jpg
)
